Seite 1 von 2
Verfärbungen / Flecken auf den Zähnen
Verfasst: 14. Juni 2010, 10:59
von langerwegerc
Häufig wird nach Flecken oder Verfärbungen auf den Zähnen gefragt.
Oft sind die Flecken im gut sichtbaren Bereich auf den Aussenflächen der Schneidezähne.
Daher werden in diesem Beitrag in loser Folge verschiedene solcher Verfärbungen und Flecken dargestellt.
Die Angaben zur Seite (links / rechts) beziehen sich, wie in der Medizin üblich, jeweils auf die entsprechende Seite des Patienten und nicht des Betrachters.
Klicken Sie auf die Bilder: so werden sie in voller Grösse dargestellt.
Flecken im Seitenzahnbereich werden allenfalls bei Gelegenheit in einem separaten Beitrag dargestellt.
Re: Verfärbungen / Flecken auf den Zähnen
Verfasst: 14. Juni 2010, 11:17
von langerwegerc
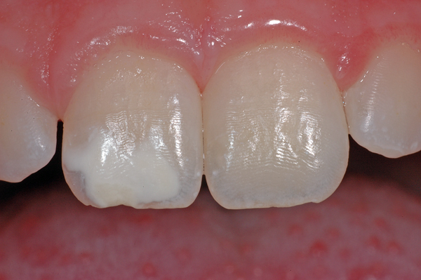
In diesem Beispiel ist ein «weisser» Fleck auf dem rechten oberen Schneidezahn (Zahn 11) einer 7-jährigen Patientin zu sehen. Solche Flecken sieht man häufig, z.B. wenn im Kleinkindalter ein Sturz auf die Milchzähne erfolgt ist und dabei die Wurzeln der Milchzähne die Zellen, die den bleibenden Zahn bilden, in Ihrer Funktion beschädigen. Aber auch andere Ursachen sind möglich, meist lässt sich aber nicht genau sagen, weshalb der Fleck entstanden ist.
Der Zahn ist allerdings, abgesehen von einer ästhetischen «Einbusse», vollkommen in Ordnung und braucht keine Therapie. Ästhetische Korrekturen sind möglich, sie werden individuell nach Bedürfnissen und Möglichkeiten geplant.
Im Bild sind zudem feine Querrillen auf den Zähnen zu sehen. Diese Rillen heissen Perikymatien und sind völlig «normal»
Sie sind vor allem an frisch durchgebrochenen, jungen Zähnen gut sichtbar. Die Ausprägung kann von Person zu Person verschieden stark sein.
Im Laufe des Lebens verflachen und verschwinden diese Rillen meist durch den Verlust von Zahnschmelz.

- Weisser Fleck auf dem rechten oberen Schneidezahn (Zahn 11) einer 7-jährigen Patientin
- 282409_1.jpg (182.14 KiB) 93809 mal betrachtet
282409
Re: Verfärbungen / Flecken auf den Zähnen
Verfasst: 15. Juni 2010, 16:53
von langerwegerc
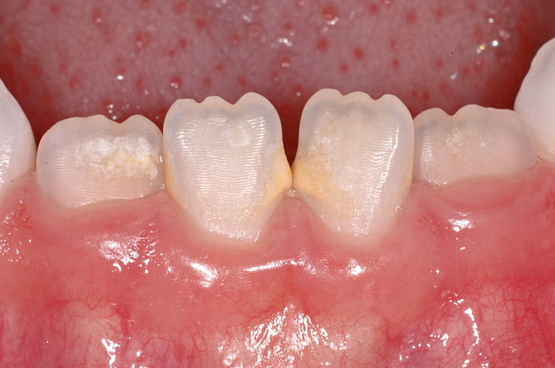
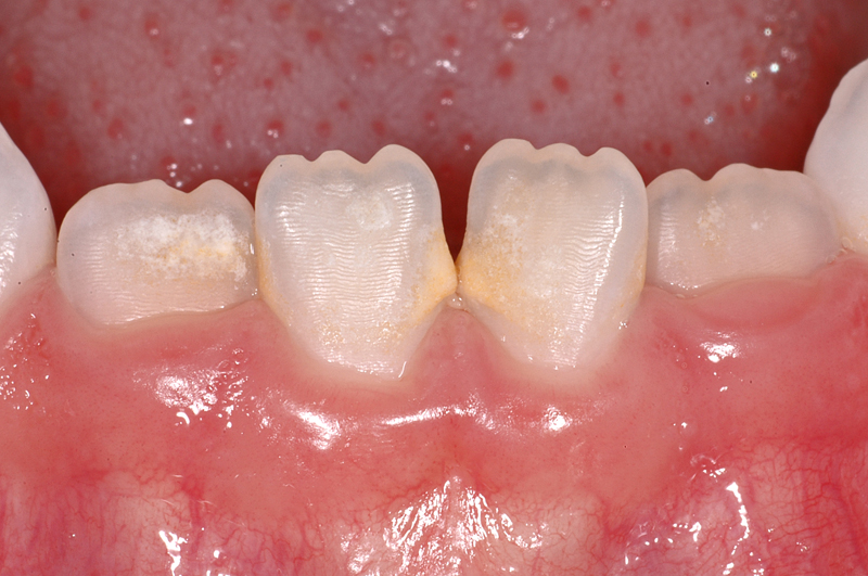
Hier ein weiterer Fall mit weissen / gelblichen Flecken an einem unteren linken mittleren Schneidezahn (Zahn 31). Diese Flecken gehen gegen den Zahnfleischrand ins Gelbliche über. Die grossflächigen Flecken auf der Zahnaussenseite sind durch eine Zahnschmelzbildungs-Variation bedingt und «im Zahn drin».
Zudem hat der Zahn 31, wie die anderen auch, braune Auflagerungen im Bereich der Zahnzwischenräume. Diese Verfärbungen lassen sich in der Regel gut reinigen und entfernen.
Ebenfalls gut sichtbar auch hier die Perikymatien (die Querrillen).

- Weisser / gelblicher Fleck an einem 31
- 233518_1.jpg (347.6 KiB) 93805 mal betrachtet
233518
Re: Verfärbungen / Flecken auf den Zähnen
Verfasst: 16. Juni 2010, 11:50
von langerwegerc
Hier ein weiterer Fall mit einem dreieckigen, weissen opaken Fleck an einem unteren, mittleren rechten Schneidezahn (Zahn 41). Bei diesem Fall ist der Unterschied zum natürlichen «Farbenspiel» des Zahnes auf der linken Seite gut zu sehen. Auch diese weisse Opazität braucht keine Therapie und kann belassen werden.
In den Zahnzwischenräumen sind bräunliche Verfärbungen auf Grund einer nicht ganz optimalen Mundhygiene zu sehen, auch ist gegen den Zahnfleischrand hin ein matter Zahnbelag (bakterielle Plaque) zu sehen. Beides kann mit einer Bürste entfernt werden.

- Dreieckiger, weisser Fleck an 41
- 276525_01.jpg (334.58 KiB) 93800 mal betrachtet
276525
Re: Verfärbungen / Flecken auf den Zähnen
Verfasst: 16. Juni 2010, 16:42
von langerwegerc
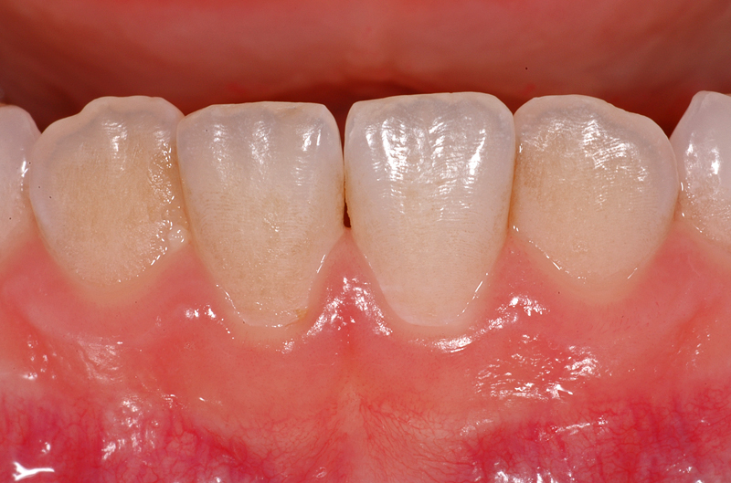
Und hier ein Fall mit leichten bräunlichen Verfärbungen auf den Aussenflächen der Unterkiefer-Schneidezähne, bedingt durch eine nicht optimale Mundhygiene.
In den Zahnzwischenräumen ist auch wenig Zahnstein vorhanden, er ist ebenfalls leicht bräunlich.
Diese Verfärbungen lassen sich gut mit einer professionellen Reinigung entfernen, danach sind die Zähne wieder sauber und «weisser».

- Bräunliche Verfärbungen auf Aussenflächen
- 275065_1.jpg (356.38 KiB) 93799 mal betrachtet
275065
Re: Verfärbungen / Flecken auf den Zähnen
Verfasst: 20. Juni 2010, 12:07
von langerwegerc
In diesem Beispiel sind dunkle Flecken «vorne» (mesial) an den seitlichen Milchschneidezähnen (Zähne 52 und 62) zu sehen; rechts grau-schwarz, links mehr braun.
Diese Zähne haben Karies in den Zahnzwischenräumen.
Zudem sind Füllungen in der Mitte bei den zentralen Schneidezähnen zu sehen.

- dunkle Flecken an den seitlichen Milchschneidezähnen
- 328482.jpg (251.34 KiB) 93788 mal betrachtet
328482
Re: Verfärbungen / Flecken auf den Zähnen
Verfasst: 20. Juni 2010, 12:24
von langerwegerc
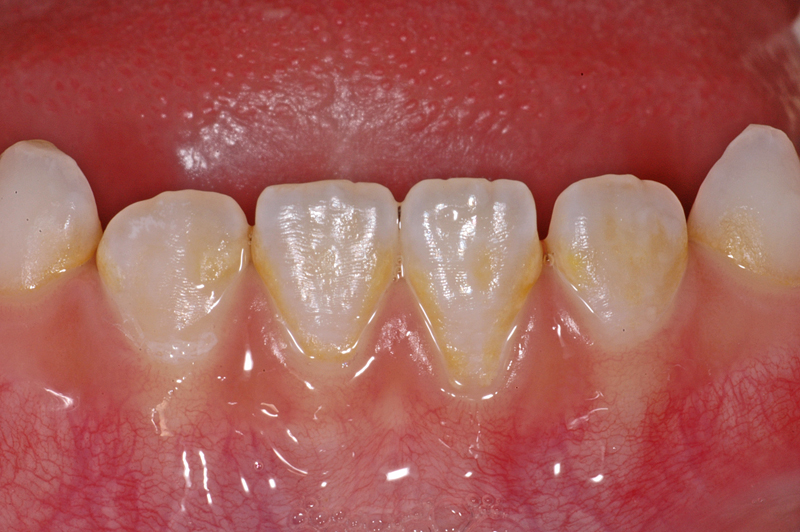
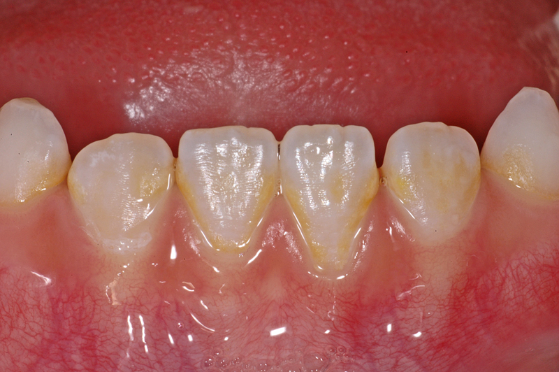
Fall mit gelblichen Verfärbungen in den Zahnzwischenräumen. Hier handelt es sich um Zahnstein. Dieser kann und soll professionell entfernt werden.
Die Patientin ist knapp 8 Jahre alt.

- Zahnstein
- 287949_01.jpg (372.36 KiB) 93786 mal betrachtet
287949
Re: Verfärbungen / Flecken auf den Zähnen
Verfasst: 20. Juni 2010, 12:38
von langerwegerc
Hier ein Fall mit einem schwarz-grünlichen Fleck am Zahnfleischrand an einem oberen rechten seitlichen Schneidezahn (Zahn 22) bei einem knapp 8-jährigen Knaben.
Zudem sind noch gelblich-braune Verfärbungen im «hinteren» Teil des Zahnes zu sehen (distal).
Der dunkle Fleck ist ein Speiserest des Frühstücks (Petersilie? Origano? Thymian?) oder, auf Grund des dicken Zahnbelags (das gelblich-braune) anzunehmen, allenfalls sogar eines vergangenen Abendessens…
Mit einer handelsüblichen Zahnbürste und Zahnpaste ist das in drei Minuten behoben…

- Speiserest
- 273696_01.JPG (337.94 KiB) 93786 mal betrachtet
273696
Re: Verfärbungen / Flecken auf den Zähnen
Verfasst: 21. Juni 2010, 16:10
von langerwegerc
Hier ein Fall mit einer Karies auf der Aussenfläche (Bukkal-Fläche) des linken seitlichen Milchschneide-Zahnes (Zahn 62); das ist die braune, flächige Verfärbung.
Im Zahnzwischenraum «vorne» (mesial) am gegenüberliegenden Zahn 52 ist ebenfalls eine Karies sichtbar.
Ein solches Bild mit Karies an den Glattflächen ist nicht untypisch für die so genannte «Flaschenkaries», verursacht durch ständiges Schoppentrinken oder Nuckeln an Süssgetränken.
Zudem ist bei diesem etwa 7½ Jahre alten Patienten auffällig, dass noch alle Schneidezähne vorhanden sind (verspäteter Zahnwechsel) wie auch, dass die Zähne sehr kurz sind. Das kann z.B. auf «übermässigen Gebrauch» (Knirschen) zusammen mit einer dies begünstigenden Zahnstellung (Kopfbiss) zurückzuzuführen sein, was zur so genannten Abrasion der Zähne führt.

- Karies an 62
- 271437_01.jpg (345.4 KiB) 93781 mal betrachtet
271437
Re: Verfärbungen / Flecken auf den Zähnen
Verfasst: 22. Juni 2010, 11:55
von langerwegerc
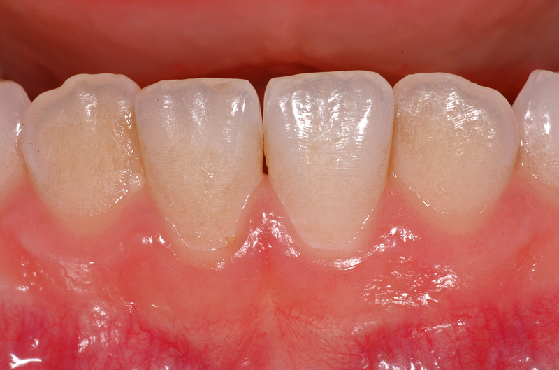
Hier ein Fall mit Zahnstein im Zahnzwischenraum der beiden unteren mittleren Schneidezähne und auf der Aussenfläche des rechten seitlichen Schneidezahnes.
Abhilfe: Professionelle Entfernung / Reinigung durch Prophylaxe-Assistentin.

- Zahnstein
- 282955_01.jpg (356.82 KiB) 93779 mal betrachtet
282955