Karies und seine Folgen
Moderator: Fachmoderator
- langerwegerc
- Administrator
- Beiträge: 372
- Registriert: 22. März 2010, 11:08
- Wohnort: Winterthur / Schweiz
Karies und seine Folgen
Hier erscheinen in loser Folge Beiträge zum Thema Karies und den Folgen davon.
Christoph Langerweger
- langerwegerc
- Administrator
- Beiträge: 372
- Registriert: 22. März 2010, 11:08
- Wohnort: Winterthur / Schweiz
Abszess und Fistel wegen Karies
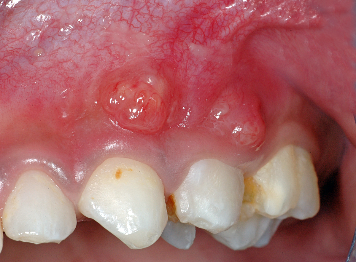
In diesem Beitrag zeige ich eine erst fünfjährige Patientin, bei der oben links ein Milcheckzahn und ein Milchstockzahn bereits stark kariös zerstört sind. Die Karies ist schon bis in den Nerv und an die Zahnwurzeln vorgedrungen und hat im Knochen eine eitrige Entzündung verursacht. Das äussert sich in den Vorwölbungen, die oberhalb der Zähne am Zahnfleisch zu sehen sind. Solche Entzündungen nennt man Abszesse oder, wenn sie chronisch sind und sich nach aussen entleeren, Fisteln. Abszesse können sehr schmerzhaft sein.
In den Bildern unten ist beim hinteren Zahn (rechts im Bild) ein Abszess zu sehen und am Eckzahn eine Fistel mit Eiteraustritt.
Solche Zähne können in der Regel nicht mehr geflickt werden und müssen daher entfernt werden. Diese Zähne wechseln im Normalfall erst im Alter zwischen 11 und 12 Jahren, bei vorzeitigem Verlust wie in diesem Fall kann es dadurch zu schwerwiegenden Zahnfehlstellungen kommen.
325932
In den Bildern unten ist beim hinteren Zahn (rechts im Bild) ein Abszess zu sehen und am Eckzahn eine Fistel mit Eiteraustritt.
Solche Zähne können in der Regel nicht mehr geflickt werden und müssen daher entfernt werden. Diese Zähne wechseln im Normalfall erst im Alter zwischen 11 und 12 Jahren, bei vorzeitigem Verlust wie in diesem Fall kann es dadurch zu schwerwiegenden Zahnfehlstellungen kommen.
325932
Christoph Langerweger