Verfärbungen / Flecken auf den Zähnen

Röntgenbild & Co.: Alles rund um die Abklärung und Beurteilung.

Moderator: Fachmoderator

Benutzeravatar
langerwegerc
Administrator
Beiträge: 372
Registriert: 22. März 2010, 11:08
Wohnort: Winterthur / Schweiz

Re: Verfärbungen / Flecken auf den Zähnen

Beitrag von langerwegerc »

Hier ein Fall einer 7-jährigen Patientin mit einer grossflächigen Karies am rechten seitlichen Milch-Schneidezahn (Zahn 52). Praktisch die ganze Aussenfläche des Zahnes ist zerstört, der Zahnschmelz weg und damit ein grosser Teil der Zahnkrone.

Solche Zähne können in der Regel nicht mehr versorgt werden, meistens wechseln diese Zähne ohnehin im Alter von 8 Jahren.

Ebenfalls sind am bleibenden mittleren Schneidezahn (Zahn 11) die Einziehungen («Zäckli») an der Schneidekante zu sehen: das ist eine ganz normale Erscheinung. Sie ist bei jeder Person etwas anders ausgeprägt, manche haben auffällige «Einschnitte», bei anderen Personen sind sie kaum sichtbar oder gar nicht vorhanden.
Im Laufe des Lebens verflachen oder verschwinden diese Einschnitte meist durch Zahnsubstanzverlust infolge des Gebrauchs.
Karies an 52
Karies an 52
284110_01.jpg (297 KiB) 30224 mal betrachtet

284110
Christoph Langerweger
Benutzeravatar
langerwegerc
Administrator
Beiträge: 372
Registriert: 22. März 2010, 11:08
Wohnort: Winterthur / Schweiz

Re: Verfärbungen / Flecken auf den Zähnen

Beitrag von langerwegerc »

Ein Fall eines ebenfalls rund 7-jährigen Patienten, der am rechten mittleren unteren Schneidezahn (Zahn 41) einen runden, weisslich-opaken Fleck hat (auf dem Foto nicht sehr gut zu erkennen). Dieser könnte von einem Trauma herrühren (Milchzähne während der Bildung der bleibenden Zähne angeschlagen und dabei die Zahnbildungszellen vorübergehend «beschädigt»). Auch der andere Schneidezahn (links, Zahn 31) hat einen opaken Fleck.

Sodann sind an den bleibenden wie auch an den Milchzähnen entlang des Zahnfleischrands schwarze Flecken zu sehen. Diese Flecken sind so genannter «Black Stain» (schwarze Flecken). In diesem Fall ist der Black Stain sehr milde ausgeprägt. Er entsteht durch Bakterien, die schwarze Pigmente bilden. Der Black Stain lässt sich mit einer professionellen Reinigung in der Regel leicht entfernen.

Zudem ist an den mittleren Schneidezähnen auch Plaque («normaler» bakterieller Zahnbelag) zu sehen, das sind die krümelig-rauh aussehenden Stellen am Zahnfleischrand und im Zahnzwischenraum. Dieser Belag kann zu Zahnstein verkalken und ist verantwortlich für die Entstehung von Karies.
Black Stain, Plaque
Black Stain, Plaque
285437_01.jpg (249.37 KiB) 30224 mal betrachtet

285437
Christoph Langerweger
Benutzeravatar
Sasa Gajic
Beiträge: 24
Registriert: 14. Juni 2010, 09:29

Re: Verfärbungen / Flecken auf den Zähnen

Beitrag von Sasa Gajic »

Ebenfalls zum Thema Verfärbungen / Flecken passt folgendes Bild.
Bei den dunklen, braunen Verfärbungen in den meisten Zahnzwischenräumen handelt es sich nicht um Karies, sondern um eine Bildungsstörung der Zahnhartsubstanz.
Bei dem damals 16-jährigen Jungen bestanden diese "Defekte" seit er seine bleibenden Zähne hat.
t14_64_01.jpg
Benutzeravatar
langerwegerc
Administrator
Beiträge: 372
Registriert: 22. März 2010, 11:08
Wohnort: Winterthur / Schweiz

Re: Verfärbungen / Flecken auf den Zähnen

Beitrag von langerwegerc »

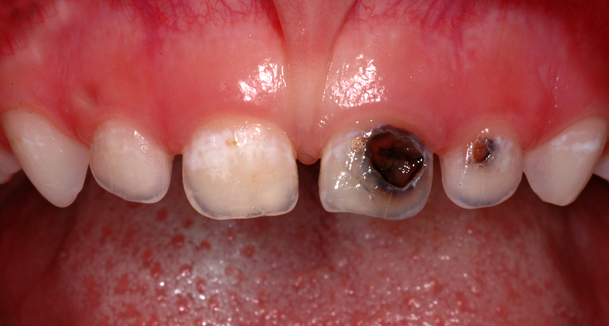
Dieser Fall, eine knapp 6-jährige Patientin, hat «schwarze Flecken» auf den Aussenflächen der Zähne 61 und 62 (linke Schneidezähne). Hier handelt es sich um eine klassische Karies («Löcher»). Karies an den Glattflächen der Milch-Schneidezähne ist praktisch immer durch intensives Flaschennuckeln verursacht.

Der Zahn 51 (der rechte Schneidezahn) hat milchig-weisse, flächige Verfärbungen. Das sind sogenannte Kreideflecken. Dies sind Entkalkungen an der Zahnoberfläche und stellen eine beginnende Karies dar. Wenn der Entkalkungsprozess weiter geht, dann bricht die Oberfläche ein (bei den zwei kleinen braunen Flecken ist das schon nahe dran...) und es kommt zu Zahnschäden wie auf der linken Seite.
Mit Fluoridierung und guter Mundhygiene lässt sich das wahrscheinlich noch vermeiden.

In der Regel werden solche Zahnschäden vorerst belassen, da die Milch-Schneidezähne bereits im Alter zwischen 6 und 8 Jahren durch die bleibenden Zähne ersetzt werden. Zudem ist es sehr aufwendig, solche Schäden gut zu versorgen, so dass immer eine Abwägung zwischen Aufwand und Ertrag gemacht werden muss. Für kleine Kinder ist eine zahnärztliche Behandlung oft anstrengend und vielfach haben diese Patienten auch Karies in den Milchmolaren (den Backenzähnen), deren Versorgung wichtiger ist.
Karies an 61 und 62
Karies an 61 und 62
Karies an 61 und 62
Karies an 61 und 62

326593
Christoph Langerweger
Benutzeravatar
langerwegerc
Administrator
Beiträge: 372
Registriert: 22. März 2010, 11:08
Wohnort: Winterthur / Schweiz

Re: Verfärbungen / Flecken auf den Zähnen

Beitrag von langerwegerc »

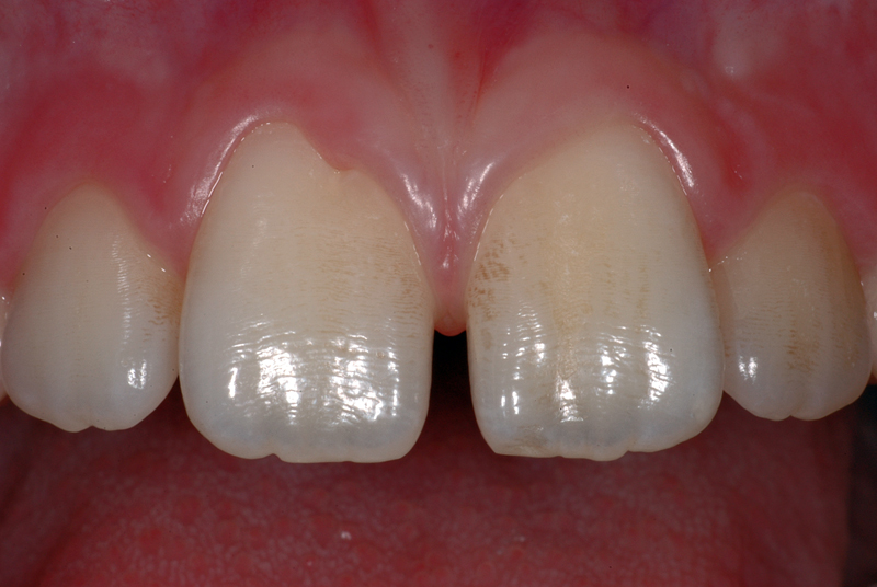
Hier ein Fall eines 8½-jährigen Knaben mit einem weissen Fleck auf dem rechten mittleren Schneidezahn 41. Das ist, wie schon in Fällen oben, auch eine Variation in der Schmelzbildung. Auffällig hier, wie die Verfärbung hier der Zahnanatomie entlang der Mammelons (das sind die «Zäckli») folgt.

Der gelbliche Belag ist Plaque (bakterieller Zahnebelag), die entfernt werden sollte – eine Zahnbürste genügt dazu.
Weisser Fleck und Plaque
Weisser Fleck und Plaque

381421
Christoph Langerweger
Benutzeravatar
langerwegerc
Administrator
Beiträge: 372
Registriert: 22. März 2010, 11:08
Wohnort: Winterthur / Schweiz

Re: Verfärbungen / Flecken auf den Zähnen, Delle

Beitrag von langerwegerc »

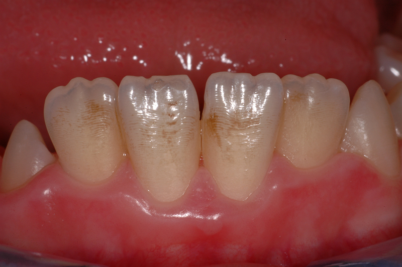
Hier ein Fall eines knapp 11-jährigen Patienten, der in der Oberkiefer- und in der Unterkiefer-Front braune Beläge hat.
Auch bei diesem Fall sind die Querrillen in den Zähnen, die Perikymatien, sehr schön zu sehen, und auch wie sich die Verfärbungen entlang dieser Rillen bilden. Mittels einer professionellen Zahnreinigung durch die Prophylaxe-Assistentin können die Verfärbungen prblemlos entfernt werden

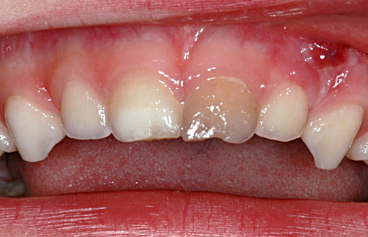
In der Oberkieferfront ist ein weiterer Befund zu sehen, eine Delle im rechten mittleren Schneidezahn (Zahn 11). Diese Delle könnte zum Beispiel durch einen Sturz auf die Milch-Frontzähne entstanden sein. Die Wurzeln der Milchzähne drücken dabei auf die zahnbildenden Zellen und beschädigen diese, so dass der bleibende Zahn in dieser Region nicht mehr vollständig gebildet wird. Das ist sozusagen eine ausgeprägtere Form eines Flecks, hier entsteht sogar ein Defekt. Solche Defekte sind nicht so selten.

Ebenfalls gut zu erkennen ist auf den Bildern, wie sich das Zahnfleisch dieser Delle «anpasst» und sich dort anschmiegt. Entsprechend sieht man auch den Verlauf mit der Unregelmässigkeit im Bereich des Defekts.

Diese Dellen müssen gut gereinigt werden, bedingt durch die Anatomie entsteht dort eine Nische, in der sich der Zahnbelag besser «verstecken» kann. Ansonsten ist aber meist keine Therapie nötig.
Verfärbungen und Delle I
Verfärbungen und Delle I
Verfärbungen und Delle II
Verfärbungen und Delle II
Verfärbungen und Delle III
Verfärbungen und Delle III
Verfärbungen und Delle IV
Verfärbungen und Delle IV

227525
Christoph Langerweger
Benutzeravatar
langerwegerc
Administrator
Beiträge: 372
Registriert: 22. März 2010, 11:08
Wohnort: Winterthur / Schweiz

Re: Verfärbungen / Flecken auf den Zähnen

Beitrag von langerwegerc »

Hier ein Fall eines 6½ Jahre alten Knaben, dessen linker, oberer Milch-Schneidezahn (Zahn 61) sich als Folge eines unfallbedingten Zahnschadens sehr stark dunkel verfärbt hat.
Das erste Bild ist etwa drei Monate nach dem Unfall aufgenommen, das zweite Bild ein Jahr nach dem Unfall. Es ist gut zu erkennen, dass sich der Zahn in dieser Zeit noch weiter, stärker bläulich-gräulich verfärbt hat.

Solche Verfärbungen sind die Folge von Blutungen im Innern des Zahnes (so ähnlich wie ein «blauer Fleck», wenn man sich an etwas stösst) und können von aussen nicht «entfernt» werden. Manchmal bleiben sie, wie in diesem Fall, oft verschwinden die Verfärbungen mit der Zeit aber auch von selbst wieder oder sind wenigstens nicht mehr ganz so deutlich sichtbar.

Solange der Zahn keine Beschwerden macht, braucht es in solchen Fällen keine zahnärztliche Behandlung (wohl aber Kontrolle…) — und die ästhetische Einbusse ist spätestens mit dem Zahnwechsel behoben…


Drei Monate nach dem Unfall
Drei Monate nach dem Unfall
Ein Jahr nach dem Unfall
Ein Jahr nach dem Unfall


340011
Christoph Langerweger
Benutzeravatar
langerwegerc
Administrator
Beiträge: 372
Registriert: 22. März 2010, 11:08
Wohnort: Winterthur / Schweiz

Re: Verfärbungen / Flecken auf den Zähnen

Beitrag von langerwegerc »

Hier ein Fall eines 17 Jahre alten Jugendlichen, der sich an den Flecken an den Oberkiefer-Frontzähnen stört (blaue Pfeile).

Diese Flecken sind kariöse Läsionen, «Löcher» in den Zähnen, auf der Glattfläche aussen im Bereich des Zahnhalses.

Mit den grünen Pfeilen sind weitere Verfärbungen weisslicher und bräunlicher Farbe markiert. Diese Stellen sind starke Entkalkungen, «beginnende Löcher» an denselben Stellen wie die Karies.

Karies an diesen Stellen kommt bei Jugendlichen zum Glück kaum mehr vor, man sieht sie vor allem verursacht durch einen exzessiven Konsum von Süssgetränken und Energy-Drinks, gepaart mit fehlender Mundhygiene, oder auch im Zusammenhang mit dem Gebrauch psychoaktiver Substanzen (Medikamente, Drogen).

Die Karies muss demnächst versorgt werden, die Entkalkungen werden vorerst konservativ behandelt, d.h. gut reinigen, fluoridieren und vor allem beseitigen der Ursache(n).


Frontansicht: 11 und 21 mit Karies, andere Frontzähne mit starken Entkalkungen
Frontansicht: 11 und 21 mit Karies, andere Frontzähne mit starken Entkalkungen
Frontansicht mit Bezeichnungen
Frontansicht mit Bezeichnungen

173787
Christoph Langerweger
Benutzeravatar
langerwegerc
Administrator
Beiträge: 372
Registriert: 22. März 2010, 11:08
Wohnort: Winterthur / Schweiz

Re: Verfärbungen / Flecken auf den Zähnen

Beitrag von langerwegerc »

Hier ein Fall mit sogenanntem «orange stain», orange-farbenen Verfärbungen, die durch bakteriellen Zahnbelag entstanden sind. Sie sind dem weiter oben beschriebenen «black stain» ähnlich, halt aber anders gefärbt.

Die Verfärbungen lassen sich durch eine gründliche Zahnreinigung entfernen.

orange stain
orange stain
269839
Christoph Langerweger
Antworten

Zurück zu „Diagnostische Massnahmen“