Häufige Probleme bei Zahndurchbruch und Zahnwechsel
Moderator: Fachmoderator
- langerwegerc
- Administrator
- Beiträge: 372
- Registriert: 22. März 2010, 11:08
- Wohnort: Winterthur / Schweiz
Häufige Probleme bei Zahndurchbruch und Zahnwechsel
In diesem Beitrag erscheinen in loser Folge häufige Fragestellungen und Probleme rund um den Zahnwechsel und den Zahndurchbruch.
Christoph Langerweger
- Sasa Gajic
- Beiträge: 24
- Registriert: 14. Juni 2010, 09:29
Durchbruch bleibender Zähne trotz vorhandener Milchzähne
Immer wieder sieht man bereits durchgebrochene bleibende Zähne, obwohl die Milchzähne noch vorhanden sind. Besonders häufig betrifft es die vorderen Zähne im Unterkiefer.
In unserer Klinik stellt die Besprechung solcher Fälle einen der häufigsten Notfalltermine dar.
Die Eltern sind beunruhigt und eilen schnell zu uns in die Klinik. Andere Eltern rufen uns an und fragen nach Lösungen.
Grundsätzlich gibt es keine Pauschallösung für alle Fälle. Wichtig ist es zu wissen, ob Milchzähne schon wackeln oder nicht. Bei unbeweglichen Milchzähnen ist oft ein Röntgenbild von Vorteil, um die weitere Therapie und das weitere Vorgehen festlegen zu können.
Unsere Empfehlung: im Zweifelfall immer zum Zahnarzt (zur Zahnärztin) gehen und zeigen.
In unserer Klinik stellt die Besprechung solcher Fälle einen der häufigsten Notfalltermine dar.
Die Eltern sind beunruhigt und eilen schnell zu uns in die Klinik. Andere Eltern rufen uns an und fragen nach Lösungen.
Grundsätzlich gibt es keine Pauschallösung für alle Fälle. Wichtig ist es zu wissen, ob Milchzähne schon wackeln oder nicht. Bei unbeweglichen Milchzähnen ist oft ein Röntgenbild von Vorteil, um die weitere Therapie und das weitere Vorgehen festlegen zu können.
Unsere Empfehlung: im Zweifelfall immer zum Zahnarzt (zur Zahnärztin) gehen und zeigen.
- langerwegerc
- Administrator
- Beiträge: 372
- Registriert: 22. März 2010, 11:08
- Wohnort: Winterthur / Schweiz
Durchbruch bleibender Zähne bei vorhandenen Milchzähnen
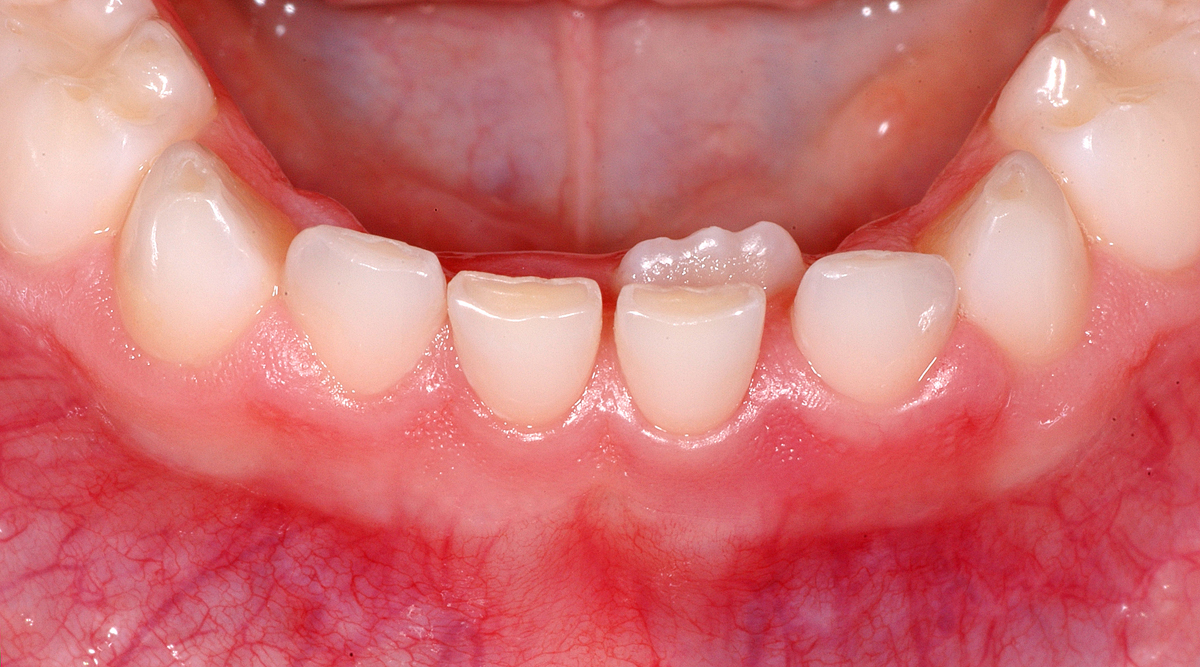
Anbei zeige ich einen ganz ähnlichen Fall, bei dem aber die seitlichen Schneidezähne im Unterkiefer betroffen sind.
Der Patient ist knapp 8½ Jahre alt, das Bild zeigt den Zustand, wie er sich bei der Erstkonsulation präsentierte. Die bleibenden Zähne sind schon sehr weit, fast ganz, durchgebrochen. Die Milchzähne sind noch komplett fest. Daher haben wir uns entschieden, die Milchzähne demnächst zu entfernen, damit die bleibenden so gut als möglich an die «richtige» Stelle kommen können.
Oft genügt der Zungendruck allein, damit sich die bleibenden Zähne im Laufe der Zeit in die Zahnreihe stellen. Wenn die bleibenden Zähne noch früher im Durchbruch sind, ist es in der Regel eher so, dass sie an die richtige Position kommen. Im vorliegenden Fall wird sich zeigen müssen, ob die Natur diese «Fehlstellung» von selbst komplett zu korrigieren vermag; immerhin ist genügend Platz vorhanden. Die Entfernung zu einem schon etwas früheren Termin wäre hier sicher hilfreich gewesen.
268053
Der Patient ist knapp 8½ Jahre alt, das Bild zeigt den Zustand, wie er sich bei der Erstkonsulation präsentierte. Die bleibenden Zähne sind schon sehr weit, fast ganz, durchgebrochen. Die Milchzähne sind noch komplett fest. Daher haben wir uns entschieden, die Milchzähne demnächst zu entfernen, damit die bleibenden so gut als möglich an die «richtige» Stelle kommen können.
Oft genügt der Zungendruck allein, damit sich die bleibenden Zähne im Laufe der Zeit in die Zahnreihe stellen. Wenn die bleibenden Zähne noch früher im Durchbruch sind, ist es in der Regel eher so, dass sie an die richtige Position kommen. Im vorliegenden Fall wird sich zeigen müssen, ob die Natur diese «Fehlstellung» von selbst komplett zu korrigieren vermag; immerhin ist genügend Platz vorhanden. Die Entfernung zu einem schon etwas früheren Termin wäre hier sicher hilfreich gewesen.
268053
Christoph Langerweger
- langerwegerc
- Administrator
- Beiträge: 372
- Registriert: 22. März 2010, 11:08
- Wohnort: Winterthur / Schweiz
Scharfe Kanten kurz vor Zahnwechsel
Anbei ein Fall einer knapp 6-jährigen Patientin, bei der der Zahn 42 (seitlicher Schneidezahn unten rechts) bereits durchbricht, der Milchzahn 82 aber noch vorhanden ist. Der Milchzahn ist schon sehr stark wacklig und wird demnächst aufallen. Wir nennen das «kurz vor Exfoliation».
Oft bereiten solche Situationen «Probleme», weil die scharfen Kanten, die durch das Auflösen der Zahnwurzel entstehen, bei Bewegung ins Zahnfleisch «stechen». Die scharfe Kante ist auf dem unteren Bild deutlich zu erkennen.
Diese Situation erfordert sehr selten eine zahnärztliche Intervention, hier ist eher die Zahnfee angesagt: an solchen Zähnen sollen die Patientinnen und Patienten einfach selbst ganz fest wackeln, bis die Zähne draussen sind. Damit ist dann auch das Problem der Schmerzen und des unangenehmen Gefühls behoben. Und wenn dann noch die Zahnfee was unters Kopfkissen legt, dann motiviert das vielleicht gleich für die kommenden Wackelzähne…
326593
Oft bereiten solche Situationen «Probleme», weil die scharfen Kanten, die durch das Auflösen der Zahnwurzel entstehen, bei Bewegung ins Zahnfleisch «stechen». Die scharfe Kante ist auf dem unteren Bild deutlich zu erkennen.
Diese Situation erfordert sehr selten eine zahnärztliche Intervention, hier ist eher die Zahnfee angesagt: an solchen Zähnen sollen die Patientinnen und Patienten einfach selbst ganz fest wackeln, bis die Zähne draussen sind. Damit ist dann auch das Problem der Schmerzen und des unangenehmen Gefühls behoben. Und wenn dann noch die Zahnfee was unters Kopfkissen legt, dann motiviert das vielleicht gleich für die kommenden Wackelzähne…
326593
Christoph Langerweger
- langerwegerc
- Administrator
- Beiträge: 372
- Registriert: 22. März 2010, 11:08
- Wohnort: Winterthur / Schweiz
Bukkaler Durchbruch
Hier ein Fall, bei dem ein oberer linker kleiner Backenzahn (ein Prämolar, Zahn 24) zu weit aussen und «oben» durchbricht. Dies ist in der Regel kein Problem, sofern der Milchzahn innert vernünftiger Frist (ein bis drei Monate) herausgewackelt werden kann; so löst sich das Problem von selbst.
Oft ist es jedoch so, dass die Milchzähne fest bleiben, weil die gaumenseitige Wurzel nicht genügend aufgelöst wird und den Zahn daher noch hält. Dann kann eine Entfernung des Milchzahnes angezeigt sein, damit sich der bleibende Zahn genügend nach innen bewegen kann und am Schluss am richtigen Platz steht und nicht zu weit aussen am unteren Zahn vorbei durchbricht.
Notfälle sind solche Situationen aber keinesfalls…
298484
Oft ist es jedoch so, dass die Milchzähne fest bleiben, weil die gaumenseitige Wurzel nicht genügend aufgelöst wird und den Zahn daher noch hält. Dann kann eine Entfernung des Milchzahnes angezeigt sein, damit sich der bleibende Zahn genügend nach innen bewegen kann und am Schluss am richtigen Platz steht und nicht zu weit aussen am unteren Zahn vorbei durchbricht.
Notfälle sind solche Situationen aber keinesfalls…
298484
Christoph Langerweger
- langerwegerc
- Administrator
- Beiträge: 372
- Registriert: 22. März 2010, 11:08
- Wohnort: Winterthur / Schweiz
Noch ein Fall mit Milchzahn, der nicht weg will...
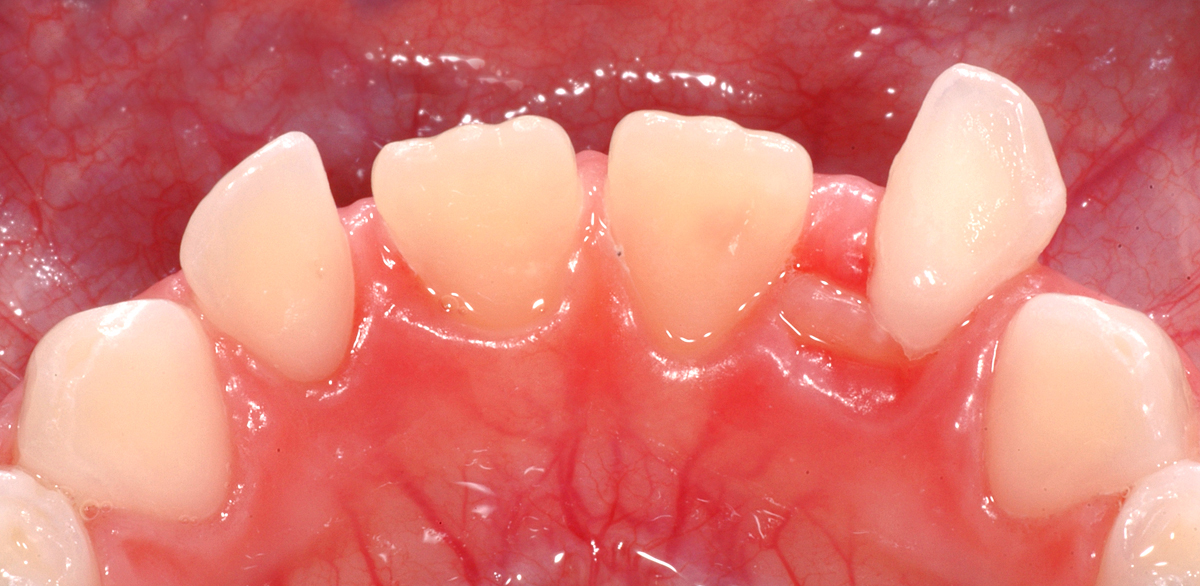
Anbei noch ein Fall, bei dem der Milchzahn noch da und der bleibende Zahn schon im Durchbruch ist.
Der Fall ist ähnlich wie die oben gezeigten.
Auch bei Fällen wie diesem muss man nicht gleich sofort einen Termin beim Zahnarzt oder der Zahnärztin vereinbaren. Geben Sie dem Zahn noch etwas Zeit (ein bis drei Monate), ihr Kind soll jeden Tag fest dran rumwackeln. Wenn der Zahn dann immer noch fest ist, so kann man ihn auch zu einem späteren Zeitpunkt noch entfernen.
Es wird oft gefragt, ob denn der Zahn dann nicht dort innen stehen bleibe, wenn man den Milchzahn nicht entfernt. Auch das ist kein Problem, denn in den meisten Fällen wird der Zahn später durch den Druck der Zunge genügend weit nach vorne in die Lücke gestossen.
287877
Der Fall ist ähnlich wie die oben gezeigten.
Auch bei Fällen wie diesem muss man nicht gleich sofort einen Termin beim Zahnarzt oder der Zahnärztin vereinbaren. Geben Sie dem Zahn noch etwas Zeit (ein bis drei Monate), ihr Kind soll jeden Tag fest dran rumwackeln. Wenn der Zahn dann immer noch fest ist, so kann man ihn auch zu einem späteren Zeitpunkt noch entfernen.
Es wird oft gefragt, ob denn der Zahn dann nicht dort innen stehen bleibe, wenn man den Milchzahn nicht entfernt. Auch das ist kein Problem, denn in den meisten Fällen wird der Zahn später durch den Druck der Zunge genügend weit nach vorne in die Lücke gestossen.
287877
Zuletzt geändert von langerwegerc am 25. Mai 2011, 23:18, insgesamt 1-mal geändert.
Grund: Orthografie
Grund: Orthografie
Christoph Langerweger
- langerwegerc
- Administrator
- Beiträge: 372
- Registriert: 22. März 2010, 11:08
- Wohnort: Winterthur / Schweiz
Seitenzähne, die nicht heraus wollen…
Anbei ein Fall eines 13½ Jahre alten Knaben mit einem rechten unteren, zweiten Milchmolaren, einem sogenannt «persistenten» Zahn 85. Bei diesem Patienten hatten alle anderen Milchzähne schon vor längerer Zeit gewechselt, nur der 85 war noch da und fest. In diesem Alter sollten diese Zähne aber bereits abgetauscht sein. Daher wurde auch ein Röntgenbild angefertigt.
Das Röntgenbild zeigt eine typische Situation, wie sie beim Durchbruch der unteren zweiten Prämolaren (die bleibenden «kleinen» Stockzähne) ab und zu vorkommen.
Der Zahn 85 hat relativ stark gespreizte Wurzeln, so dass der Zahn 45 diese nicht ganz aufzulösen vermag.
Weil der Zahn 45 etwas gekippt gegen den Zahn 46 hin durchbricht, hat er nun die Wurzel an einer Stelle nahe der Krone komplett aufgelöst (weisse Pfeile) und dadurch bleibt ein Teil der hinteren Wurzel im Knochen stecken (roter Pfeil).
In vielen Fällen lösen sich solche Probleme von selbst, manchmal müssen solche Milchzähne aber, wie im vorliegenden Fall, aktiv entfernt werden, weil der Durchbruch doch nicht von selbst stattfindet. Das ist oft eine Folge einer verbleibenden langen Wurzel (hier im Fall mit den blauen Pfeilen markiert), die den Zahn noch «festhalten».
Dieser 85 wurde auf Wunsch des Zahnstellungsspezialisten (Kieferorthopäden) entfernt. Die vordere Wurzel (blaue Pfeile) konnte dabei vollständig mit entfernt werden, der hintere Anteil (roter Pfeil) der Wurzel wurde belassen, da er sehr weit im Knochen steckte und der Kieferorthopäde sich an diesem Wurzelrest nicht störte. Für eine Entfernung wäre der Eingriff sogleich wesentlich invasiver geworden. Zudem können solche Wurzelreste in aller Regel problemlos belassen werden.
Solche «liegengebliebene» Wurzelreste sieht man auf Röntgenbildern von Jugendlichen und Erwachsenen immer wieder als Zufallsbefunde. Manchmal lösen sie sich von selbst auf und verschwinden dann, manchmal bleiben sie aber auch einfach dort.
219059
Das Röntgenbild zeigt eine typische Situation, wie sie beim Durchbruch der unteren zweiten Prämolaren (die bleibenden «kleinen» Stockzähne) ab und zu vorkommen.
Der Zahn 85 hat relativ stark gespreizte Wurzeln, so dass der Zahn 45 diese nicht ganz aufzulösen vermag.
Weil der Zahn 45 etwas gekippt gegen den Zahn 46 hin durchbricht, hat er nun die Wurzel an einer Stelle nahe der Krone komplett aufgelöst (weisse Pfeile) und dadurch bleibt ein Teil der hinteren Wurzel im Knochen stecken (roter Pfeil).
In vielen Fällen lösen sich solche Probleme von selbst, manchmal müssen solche Milchzähne aber, wie im vorliegenden Fall, aktiv entfernt werden, weil der Durchbruch doch nicht von selbst stattfindet. Das ist oft eine Folge einer verbleibenden langen Wurzel (hier im Fall mit den blauen Pfeilen markiert), die den Zahn noch «festhalten».
Dieser 85 wurde auf Wunsch des Zahnstellungsspezialisten (Kieferorthopäden) entfernt. Die vordere Wurzel (blaue Pfeile) konnte dabei vollständig mit entfernt werden, der hintere Anteil (roter Pfeil) der Wurzel wurde belassen, da er sehr weit im Knochen steckte und der Kieferorthopäde sich an diesem Wurzelrest nicht störte. Für eine Entfernung wäre der Eingriff sogleich wesentlich invasiver geworden. Zudem können solche Wurzelreste in aller Regel problemlos belassen werden.
Solche «liegengebliebene» Wurzelreste sieht man auf Röntgenbildern von Jugendlichen und Erwachsenen immer wieder als Zufallsbefunde. Manchmal lösen sie sich von selbst auf und verschwinden dann, manchmal bleiben sie aber auch einfach dort.
219059
Christoph Langerweger
- langerwegerc
- Administrator
- Beiträge: 372
- Registriert: 22. März 2010, 11:08
- Wohnort: Winterthur / Schweiz
Re: Seitenzähne, die nicht heraus wollen…
Gerne poste ich hier mal noch etwas zum weiteren Verlauf des oben gezeigten Falls.
Fast genau drei Jahre nach dem oben gezeigten Röntgenbild hat der Patient wieder Röntgenbilder zur Kariesdiagnostik (Bite-Wing-Aufnahmen, BWs) gemacht.
Der Zahn 45 ist gut durchgebrochen und hat sich schön eingereiht. Der «liegengebliebene» Wurzelrest ist am unteren Bildrand noch ansatzweise zu erkennen (roter Pfeil im unteren Bild; die Röntgenaufnahme wurde auch nicht wegen dieses Wurzelrests gemacht, daher ist das auf dieser Aufnahme mehr ein «Nebenbefund»).
219059
Christoph Langerweger