Abszess ausgehend von Milchschneidezahn

Zahn abgebrochen? Ausgeschlagen? Was nun? Hier geht's um Zahnschäden und richtiges Verhalten dabei.

Moderator: Fachmoderator

Antworten
Benutzeravatar
langerwegerc
Administrator
Beiträge: 372
Registriert: 22. März 2010, 11:08
Wohnort: Winterthur / Schweiz

Abszess ausgehend von Milchschneidezahn

Beitrag von langerwegerc »

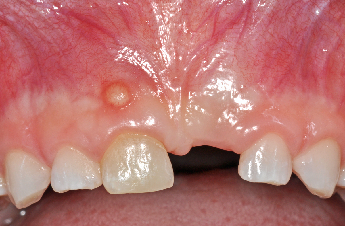
Dieser Fall zeigt einen knapp 7 Jahre alten Patienten, der sich schon vor einiger Zeit bei einem Sturz mit dem Fahrrad den mittleren Milch-Schneidezahn oben links (61) herausgeschlagen hat.
Offensichtlich ist dabei auch der rechte obere mittlere Milch-Schneidezahn (51) in Mitleidenschaft gezogen worden, denn er wurde anlässlich einer Kontrolle ein Jahr zuvor schon als verfärbt notiert (das ist auch auf den Bildern zu erkennen). Bei der neuerlichen Kontrolle zeigte sich an der Mundschleimhaut oberhalb des Zahnes 51 eine kleine, rundliche Erhebung (Pfeil).

Dabei handelt es sich nach klinischer Beurteilung um einen kleinen Abszess (eine eitrige Entzündung), ausgehend vom Zahn 51. In vielen Fällen ist eine solche Entzündung bei Kindern chronisch und verläuft ohne oder mit nur sanftem Schmerz. Oft entleert sich der Eiter dieser Entzündung spontan; man spricht dann von einer Fistel.

Dieser Befund muss durch einen Zahnarzt oder eine Zahnärztin weiter abgeklärt werden – in der Regel werden dazu Röntgenbilder der Oberkiefer-Front angefertigt. Dies dient einerseits zum Erhärten der Diagnose, anderseits auch zum Abschätzen der Notwendigkeit und Dringlichkeit einer Behandlung.
Aspekte der Gesundheit des bleibenden Zahnes wie auch der Vermeidung von ärgeren Problemen stehen bei der Beurteilung im Vordergrund. In den meisten Fällen ist keine Behandlung notwendig (wenn der Zahn ohnehin in einigen Wochen von selbst in Folge des anstehenden Zahnwechsels herausfällt), manchmal muss der Zahn aber auch entfernt werden.

Unfallbedingte Zahnschäden sollten daher auch durchaus durch die Eltern zu Hause dann und wann «kritisch angeschaut» und, falls etwas Besonderes wie zum Beispiel der gezeigte Abszess festgestellt wird, durch eine Fachperson beurteilt werden.

Übersicht
Übersicht
Ansicht
Ansicht
Ansicht mit Beschriftung
Ansicht mit Beschriftung
Detailansicht
Detailansicht

322188
Christoph Langerweger
Antworten

Zurück zu „Zahnunfall“