Guten Tag,
Unsere Tochter (fast 4 Jahre alt) hat leider ziemlich viele Löcher in den Stockzähnen. Leider ist auch ein Eckzahn betroffen, der ist mittlerweile leider schon ganz brüchig und dunkel verfärbt. Kann / soll man hier etwas tun, oder den Zahn einfach stehen lassen, oder allenfalls den Zahn ziehen? Wenn der Zahn gezogen werden sollte - braucht es dann einen Platzhalter oder sollte das in diesem Alter gehen ohne?
Besten Dank für Ihre neutrale und schnelle Antwort
Mit freundlichen Grüssen
Karies bei Eckzahn
Moderator: Fachmoderator
- langerwegerc
- Administrator
- Beiträge: 372
- Registriert: 22. März 2010, 11:08
- Wohnort: Winterthur / Schweiz
Re: Karies bei Eckzahn
Guten Tag, ich
Danke für den Beitrag im Forum.
Um eine wirklich differenzierte Antwort zu geben ist es sicher nötig, Ihre Tochter auch klinisch zu untersuchen oder mindestens ein Foto zu sehen. Nur so lässt sich auch der Schweregrad der Karies überhaupt abschätzen. Wenn Sie also eines haben oder machen können, dann laden Sie es doch ins Forum hoch, so kann man Ihnen noch bessere Informationen geben.
Grundsätzlich lässt sich aber etwa folgendes sagen:
Glücklicherweise sind Eckzähne eher weniger häufig von ganz schwerer Karies betroffen. Daher ist es oft möglich, mit guter Mundhygiene die Karies am Fortschreiten zu hindern, bis eine Behandlung möglich ist (falls überhaupt nötig; manchmal kann man die «gestoppte» Karies auch einfach belassen). Eine ästhetische Einbusse bleibt da aber natürlich bestehen.
Sind viele Zähne von Karies befallen und behandlungsbedürftig, so müssen bei jungen Kindern wie Ihrer Tochter oft auch Prioritäten gesetzt werden, weil die Bereitschaft zur Mitarbeit für eine «normale» Behandlung häufig begrenzt ist.
Sind die Zahnschäden sehr ausgedehnt, dann muss auch die Behandlung in Narkose in Betracht gezogen werden. Dabei werden alle Zähne «in einem Mal» behandelt, auch solche, die ansonsten aus den oben beschriebenen Gründen vielleicht auf später verschoben würden.
Ob man etwas tun kann / soll hängt also sicher vom Ausmass und den erwähnten Faktoren ab.
Eine Entfernung des Zahnes wird wenn immer möglich vermieden, da dies nur der letzte Ausweg ist (und sein sollte), wenn ein Zahn wirklich nicht mehr zu retten ist.
Dies kann sein, wenn die Karies so tief ist, dass der Nerv bereits betroffen ist und sich schon Entzündungen im Knochen gebildet haben. Anders als bei bleibenden Zähnen ist bei Milchzähnen ist eine «Wurzelbehandlung» im eigentlichen Sinne nicht oder nur eingeschränkt möglich. Dies vor allem deshalb, weil die Milchzahnwurzeln zu einem späteren Zeitpunkt «aufgelöst» werden müssen, um den bleibenden Platz zu machen und man die Entwicklung der bleibenden Zähne nicht stören will.
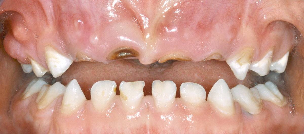
Ob nach Zahnverlust ein Lückenhalter eingesetzt wird hängt ebenfalls ganz von der Situation ab und kann so nicht allgemeingültig beantwortet werden. Ein Lückenhalter für einen Eckzahn ist, mindestens hier in Zürich, eher etwas Aussergewöhnliches, da die Frontzähne (mittlerer und seitlicher Schneidezahn) sehr viel früher wechseln als der Eckzahn und daher der Lückenhalter mehrmals angepasst werden müsste. Zudem stellt sich auch die Frage nach der Mitarbeit seitens der Patienten und ob denn überhaupt eine Lücke vorhanden wäre, die offen gehalten werden kann (oft sind leider auch die Milch-Schneidezähne so stark betroffen, dass sie entfernt werden müssen, siehe Fotos).
Ob im Eckzahnbereich die Zahnverschiebungen ebenso ausgeprägt sind wie im Seitenzahnbereich, kann ich nicht sagen, vielleicht gibt es jemanden, der dazu die Literatur besser kennt und weitere Hinweise geben kann.
Unten habe ich noch einige Bilder angefügt, die Karies in der Front in verschiedenem Ausmass zeigen. Ist vielleicht eines dabei, das dem Zustand des Eckzahnes Ihrer Tochter am ehesten entspricht?
Helfen Ihnen diese Informationen weiter?
Danke an meine Kolleginnen / Kollegen für die Fotos
Danke für den Beitrag im Forum.
Um eine wirklich differenzierte Antwort zu geben ist es sicher nötig, Ihre Tochter auch klinisch zu untersuchen oder mindestens ein Foto zu sehen. Nur so lässt sich auch der Schweregrad der Karies überhaupt abschätzen. Wenn Sie also eines haben oder machen können, dann laden Sie es doch ins Forum hoch, so kann man Ihnen noch bessere Informationen geben.
Grundsätzlich lässt sich aber etwa folgendes sagen:
Glücklicherweise sind Eckzähne eher weniger häufig von ganz schwerer Karies betroffen. Daher ist es oft möglich, mit guter Mundhygiene die Karies am Fortschreiten zu hindern, bis eine Behandlung möglich ist (falls überhaupt nötig; manchmal kann man die «gestoppte» Karies auch einfach belassen). Eine ästhetische Einbusse bleibt da aber natürlich bestehen.
Sind viele Zähne von Karies befallen und behandlungsbedürftig, so müssen bei jungen Kindern wie Ihrer Tochter oft auch Prioritäten gesetzt werden, weil die Bereitschaft zur Mitarbeit für eine «normale» Behandlung häufig begrenzt ist.
Sind die Zahnschäden sehr ausgedehnt, dann muss auch die Behandlung in Narkose in Betracht gezogen werden. Dabei werden alle Zähne «in einem Mal» behandelt, auch solche, die ansonsten aus den oben beschriebenen Gründen vielleicht auf später verschoben würden.
Ob man etwas tun kann / soll hängt also sicher vom Ausmass und den erwähnten Faktoren ab.
Eine Entfernung des Zahnes wird wenn immer möglich vermieden, da dies nur der letzte Ausweg ist (und sein sollte), wenn ein Zahn wirklich nicht mehr zu retten ist.
Dies kann sein, wenn die Karies so tief ist, dass der Nerv bereits betroffen ist und sich schon Entzündungen im Knochen gebildet haben. Anders als bei bleibenden Zähnen ist bei Milchzähnen ist eine «Wurzelbehandlung» im eigentlichen Sinne nicht oder nur eingeschränkt möglich. Dies vor allem deshalb, weil die Milchzahnwurzeln zu einem späteren Zeitpunkt «aufgelöst» werden müssen, um den bleibenden Platz zu machen und man die Entwicklung der bleibenden Zähne nicht stören will.
Ob nach Zahnverlust ein Lückenhalter eingesetzt wird hängt ebenfalls ganz von der Situation ab und kann so nicht allgemeingültig beantwortet werden. Ein Lückenhalter für einen Eckzahn ist, mindestens hier in Zürich, eher etwas Aussergewöhnliches, da die Frontzähne (mittlerer und seitlicher Schneidezahn) sehr viel früher wechseln als der Eckzahn und daher der Lückenhalter mehrmals angepasst werden müsste. Zudem stellt sich auch die Frage nach der Mitarbeit seitens der Patienten und ob denn überhaupt eine Lücke vorhanden wäre, die offen gehalten werden kann (oft sind leider auch die Milch-Schneidezähne so stark betroffen, dass sie entfernt werden müssen, siehe Fotos).
Ob im Eckzahnbereich die Zahnverschiebungen ebenso ausgeprägt sind wie im Seitenzahnbereich, kann ich nicht sagen, vielleicht gibt es jemanden, der dazu die Literatur besser kennt und weitere Hinweise geben kann.
Unten habe ich noch einige Bilder angefügt, die Karies in der Front in verschiedenem Ausmass zeigen. Ist vielleicht eines dabei, das dem Zustand des Eckzahnes Ihrer Tochter am ehesten entspricht?
Helfen Ihnen diese Informationen weiter?
Danke an meine Kolleginnen / Kollegen für die Fotos
Christoph Langerweger