In diesem Beitrag zeige ich einen Fall eines zwischen 8 und 9 Jahre alten Patienten, der sogenannte Kreuzbiss-Situationen hat. Der Patient hat gleich zwei solche Kreuzbisse, nämlich einen bei den Frontzähnen (den Schneidezähnen) und einen auf der linken Seite im Seitenzahnbereich.
Kreuzbisse können einzelne Zähne betreffen oder ganze Zahngruppen oder Zahnbereiche.
Die dunklen Flecken auf seinen Zähnen sind so genannter «black stain» und kann mittels einer professionellen Zahnreinigung entfernt werden; siehe dazu auch den
Beitrag mit den Verfärbungen.
Kreuzbiss im Frontzahnbereich
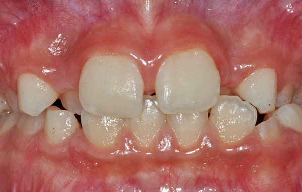
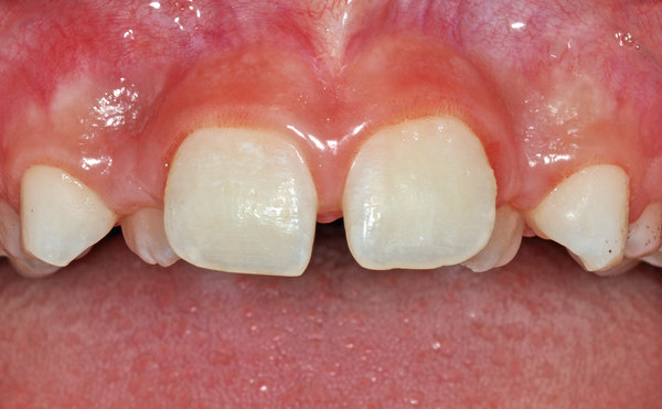
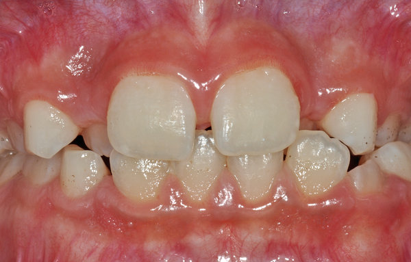
Auf dem ersten Bild ist eine Ansicht von vorne zu sehen. Die beiden mittleren Schneidezähne stehen vor den unteren Schneidezähnen und somit «richtig». Die seitlichen Schneidezähne sind nur knapp zu sehen und stehen deutlich hinter den mittleren oberen,
aber auch hintern den unteren Schneidezähnen. Das nennt man einen Kreuzbiss in der Front.

- Frontansicht, geschlossen

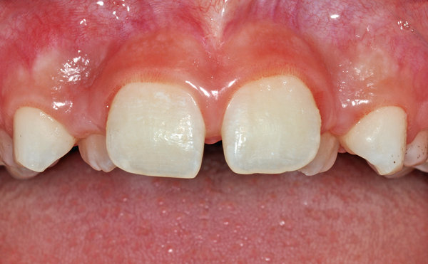
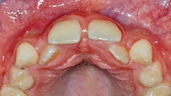
- Frontansicht, nur Oberkiefer
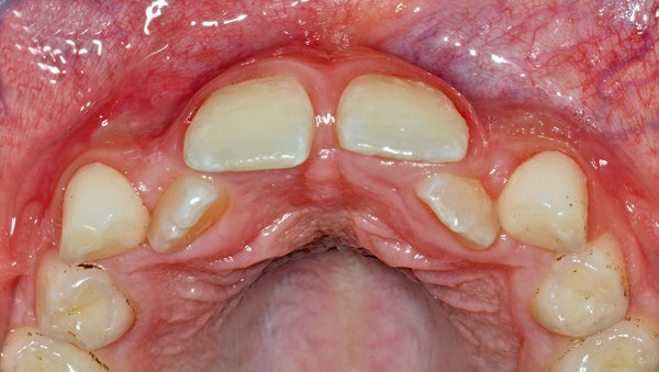
Diese Abweichung ist dadurch bedingt, dass die seitlichen Schneidezähne zu weit auf der Gaumenseite (im zahnärztlichen Vokabular: palatinal) durchgebrochen sind. Nebst der ursprünglichen Lage der Zahnkeime beim Wachstum ist sicher auch die zu knappe Platzsituation (auf dem folgenden Bild gut zu erkennen) mit daran beteiligt.

- Aufsicht
Kreuzbiss im Seitenzahnbereich
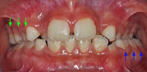
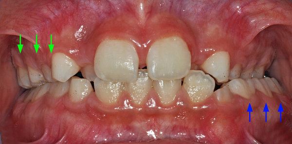
Auf den folgenden Bildern ist zu sehen, dass auf der linken Seite des Patienten (rechts im Bild, blaue Pfeile) die unteren Zähne «weiter aussen» stehen als die oberen. Das nennt man einen seitlichen Kreuzbiss.
Auf der rechten Seite ist das gerade umgekehrt (d.h. die oberen Zähne stehen weiter aussen als die unteren, grüne Pfeile) und hier stehen die Zähne «richtig».

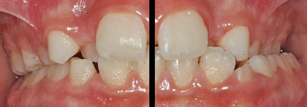
- Frontansicht, ganzes Gebiss

- Ansicht der seitlichen Zahnbogen
Muss das korrigiert werden?
Aus zahnärztlicher Sicht sind beide Abweichungen korrekturbedürftig, im Frontzahnbereich nicht zuletzt aus ästhetischen Gründen. Im Seitenzahnbereich ist auch der bleibende Zahn ganz hinten (erster Stockzahn) betroffen, daher ist eine Korrektur zu diesem Zeitpunkt angezeigt.
Sind nur die seitlichen Milchzähne vom Kreuzbiss betroffen kann in manchen Fällen auch mit einer Korrektur noch abgewartet werden. Lassen Sie ich aber unbedingt von einer zahnärztlichen Fachperson beraten, da immer weitere Faktoren mit berücksichtigt werden sollten und jeder Fall individuell beurteilt werden muss.
248884