Zahnstellungen aller Art

Die Zahnspange: Was Sie schon immer wissen wollten…

Moderator: Fachmoderator

Antworten
Benutzeravatar
langerwegerc
Administrator
Beiträge: 372
Registriert: 22. März 2010, 11:08
Wohnort: Winterthur / Schweiz

Zahnstellungen aller Art

Beitrag von langerwegerc »

In diesem Beitrag erscheinen in loser Folge Zahnstellungen aller Art.
Es werden normale Zahnstellungen ebenso abgebildet wie solche mit grösseren und kleineren Abweichungen.
Christoph Langerweger
Benutzeravatar
langerwegerc
Administrator
Beiträge: 372
Registriert: 22. März 2010, 11:08
Wohnort: Winterthur / Schweiz

Kreuzbiss vorne und seitlich

Beitrag von langerwegerc »

In diesem Beitrag zeige ich einen Fall eines zwischen 8 und 9 Jahre alten Patienten, der sogenannte Kreuzbiss-Situationen hat. Der Patient hat gleich zwei solche Kreuzbisse, nämlich einen bei den Frontzähnen (den Schneidezähnen) und einen auf der linken Seite im Seitenzahnbereich.

Kreuzbisse können einzelne Zähne betreffen oder ganze Zahngruppen oder Zahnbereiche.

Die dunklen Flecken auf seinen Zähnen sind so genannter «black stain» und kann mittels einer professionellen Zahnreinigung entfernt werden; siehe dazu auch den Beitrag mit den Verfärbungen.


Kreuzbiss im Frontzahnbereich

Auf dem ersten Bild ist eine Ansicht von vorne zu sehen. Die beiden mittleren Schneidezähne stehen vor den unteren Schneidezähnen und somit «richtig». Die seitlichen Schneidezähne sind nur knapp zu sehen und stehen deutlich hinter den mittleren oberen, aber auch hintern den unteren Schneidezähnen. Das nennt man einen Kreuzbiss in der Front.
Frontansicht, geschlossen
Frontansicht, geschlossen
Frontansicht, nur Oberkiefer
Frontansicht, nur Oberkiefer

Diese Abweichung ist dadurch bedingt, dass die seitlichen Schneidezähne zu weit auf der Gaumenseite (im zahnärztlichen Vokabular: palatinal) durchgebrochen sind. Nebst der ursprünglichen Lage der Zahnkeime beim Wachstum ist sicher auch die zu knappe Platzsituation (auf dem folgenden Bild gut zu erkennen) mit daran beteiligt.
Aufsicht
Aufsicht



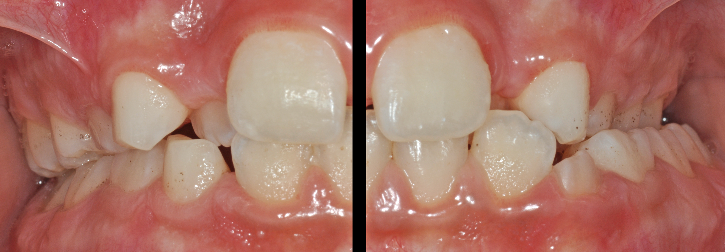
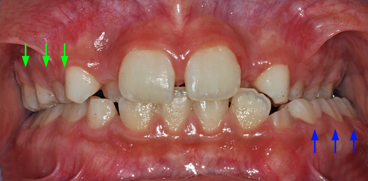
Kreuzbiss im Seitenzahnbereich

Auf den folgenden Bildern ist zu sehen, dass auf der linken Seite des Patienten (rechts im Bild, blaue Pfeile) die unteren Zähne «weiter aussen» stehen als die oberen. Das nennt man einen seitlichen Kreuzbiss.
Auf der rechten Seite ist das gerade umgekehrt (d.h. die oberen Zähne stehen weiter aussen als die unteren, grüne Pfeile) und hier stehen die Zähne «richtig».

Frontansicht, ganzes Gebiss
Frontansicht, ganzes Gebiss
Ansicht der seitlichen Zahnbogen
Ansicht der seitlichen Zahnbogen


Muss das korrigiert werden?

Aus zahnärztlicher Sicht sind beide Abweichungen korrekturbedürftig, im Frontzahnbereich nicht zuletzt aus ästhetischen Gründen. Im Seitenzahnbereich ist auch der bleibende Zahn ganz hinten (erster Stockzahn) betroffen, daher ist eine Korrektur zu diesem Zeitpunkt angezeigt.
Sind nur die seitlichen Milchzähne vom Kreuzbiss betroffen kann in manchen Fällen auch mit einer Korrektur noch abgewartet werden. Lassen Sie ich aber unbedingt von einer zahnärztlichen Fachperson beraten, da immer weitere Faktoren mit berücksichtigt werden sollten und jeder Fall individuell beurteilt werden muss.



248884
Christoph Langerweger
Benutzeravatar
langerwegerc
Administrator
Beiträge: 372
Registriert: 22. März 2010, 11:08
Wohnort: Winterthur / Schweiz

Kreuzbiss einzelner Zahn vorne

Beitrag von langerwegerc »

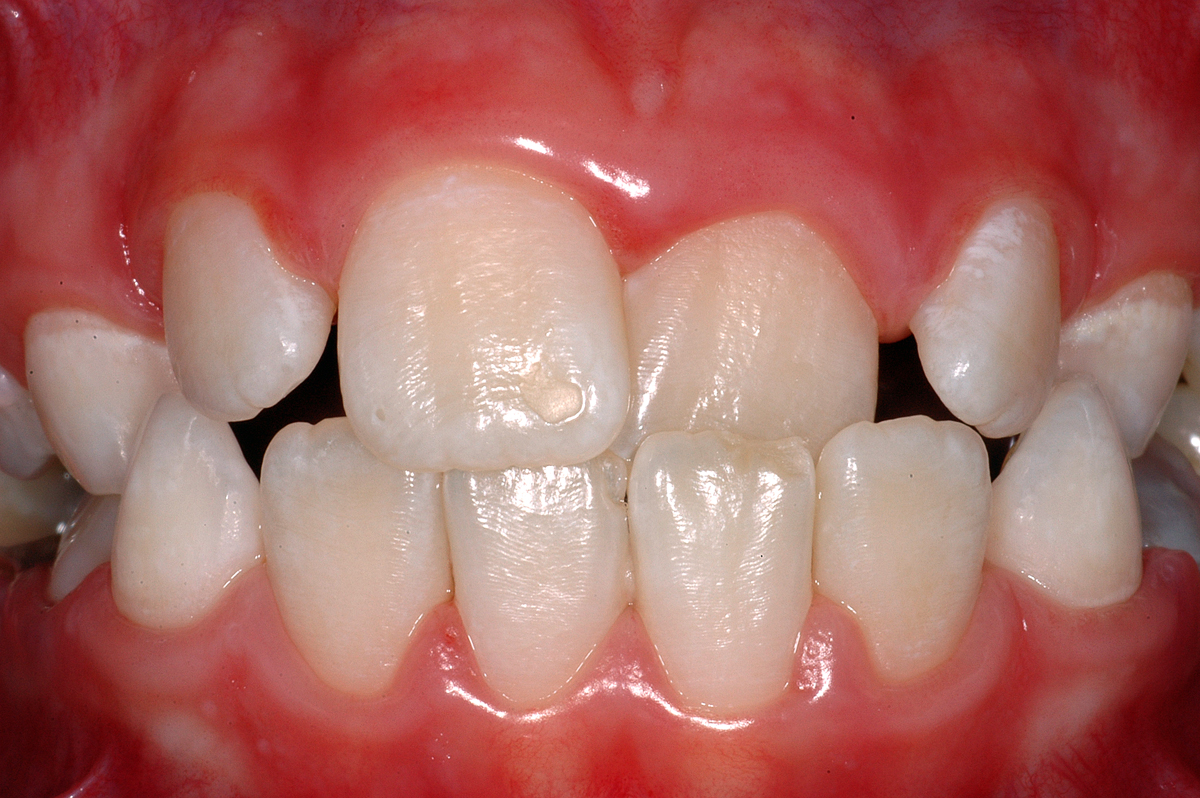
Anbei ein Fall eines Patienten mit einem einzelnen Frontzahn im Kreuzbiss. Der linke obere Schneidezahn (Zahn 21) steht hinter den unteren Schneidezähnen und somit im Kreuzbiss. Ursache ist, dass der 21 zu weit gaumenseitig (palatinal) steht.

Auch diese Situation sollte behoben werden.

Kreuzbiss 21 mit Unterkiefer-Front
Kreuzbiss 21 mit Unterkiefer-Front
Ursache: zu weit palatinal stehender Zahn
Ursache: zu weit palatinal stehender Zahn


254252
Christoph Langerweger
Benutzeravatar
langerwegerc
Administrator
Beiträge: 372
Registriert: 22. März 2010, 11:08
Wohnort: Winterthur / Schweiz

Kreuzbiss einzelner Zahn in der Front

Beitrag von langerwegerc »

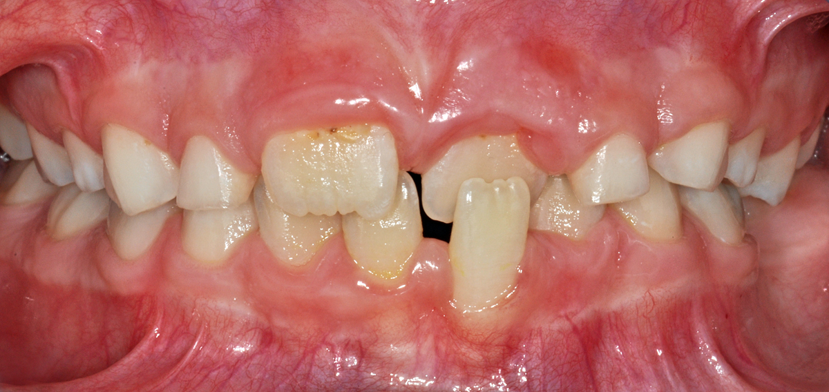
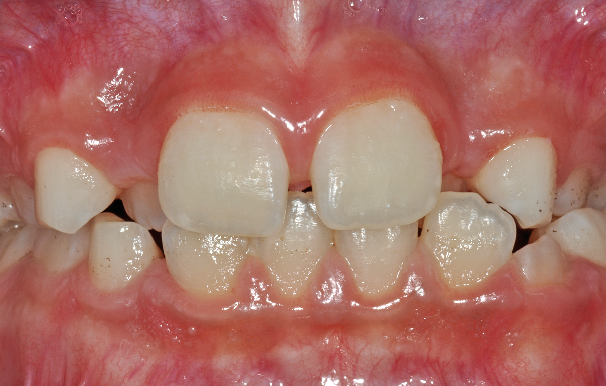
Anbei zeige ich einen ganz ähnlichen Fall wie oben, einer 7½ Jahre alten Patientin mit einem Kreuzbiss in der Front. Der linke mittlere Schneidezahn unten und oben stehen so, dass der untere Zahn weiter «vorne», also in einer Kreuzbiss-Situation, steht (blaue Pfeile im Foto unten).
Der Kreuzbiss ist wahrscheinlich eine Folge davon, dass der Milchzahn nicht ausgefallen ist und den Durchbruch des 21 an seine «richtige» Stelle weiter vorne behindert hat. Dias Aussehen des Zahnfleischs bei 21 weist darauf hin.

Diese Situation ist sicher ästhetisch unbefriedigend und sollte behoben werden, in diesem Fall wird dazu wahrscheinlich schon eine kieferorthopädische Apparatur (eine «Spange») notwendig sein.
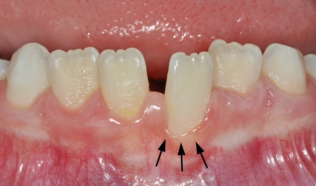
Auf einem der Bilder unten ist mit schwarzen Pfeilen ein weiterer Grund markiert, weshalb dieser Kreuzbiss korrigiert werden sollte. Die Gingiva (das Zahnfleisch) ist beim Zahn 31 schon sehr weit zurückgegangen (sogenannte Rezession), als Folge davon, dass der Oberkiefer-Frontzahn den 31 weit nach vorne drückt, wo kein Knochen mehr für den Zahnhalteapparat vorhanden ist. So etwas ist langfristig für den Zahn sehr ungünstig und kann später zu gravierenden Problemen führen.

Ansicht von vorne, Übersicht
Ansicht von vorne, Übersicht
Ansicht von vorne, Übersicht mit Bezeichnungen; Kreuzbiss-Situation mit blauen Pfeilen markiert
Ansicht von vorne, Übersicht mit Bezeichnungen; Kreuzbiss-Situation mit blauen Pfeilen markiert
Ansicht von vorne, Detail
Ansicht von vorne, Detail
Ansicht Oberkiefer von inzisal, Zahn 21 steht weit palatinal (innen auf der Gaumenseite)
Ansicht Oberkiefer von inzisal, Zahn 21 steht weit palatinal (innen auf der Gaumenseite)
Ansicht Unterkiefer von inzisal, Zahn 31 steht weit labial (aussen, gegen die Lippe)
Ansicht Unterkiefer von inzisal, Zahn 31 steht weit labial (aussen, gegen die Lippe)
Detailansicht des 31
Detailansicht des 31
Detailansicht des 31 mit Rezession (schwarze Pfeile)
Detailansicht des 31 mit Rezession (schwarze Pfeile)



289916
Christoph Langerweger
Antworten

Zurück zu „Zahnstellung“