In diesem Beitrag erscheinen in loser Folge Zahnstellungen aller Art.
Es werden normale Zahnstellungen ebenso abgebildet wie solche mit grösseren und kleineren Abweichungen.
Zahnstellungen aller Art
Moderator: Fachmoderator
- langerwegerc
- Administrator
- Beiträge: 372
- Registriert: 22. März 2010, 11:08
- Wohnort: Winterthur / Schweiz
Zahnstellungen aller Art
Christoph Langerweger
- langerwegerc
- Administrator
- Beiträge: 372
- Registriert: 22. März 2010, 11:08
- Wohnort: Winterthur / Schweiz
Kreuzbiss vorne und seitlich
In diesem Beitrag zeige ich einen Fall eines zwischen 8 und 9 Jahre alten Patienten, der sogenannte Kreuzbiss-Situationen hat. Der Patient hat gleich zwei solche Kreuzbisse, nämlich einen bei den Frontzähnen (den Schneidezähnen) und einen auf der linken Seite im Seitenzahnbereich.
Kreuzbisse können einzelne Zähne betreffen oder ganze Zahngruppen oder Zahnbereiche.
Die dunklen Flecken auf seinen Zähnen sind so genannter «black stain» und kann mittels einer professionellen Zahnreinigung entfernt werden; siehe dazu auch den Beitrag mit den Verfärbungen.
Kreuzbiss im Frontzahnbereich
Auf dem ersten Bild ist eine Ansicht von vorne zu sehen. Die beiden mittleren Schneidezähne stehen vor den unteren Schneidezähnen und somit «richtig». Die seitlichen Schneidezähne sind nur knapp zu sehen und stehen deutlich hinter den mittleren oberen, aber auch hintern den unteren Schneidezähnen. Das nennt man einen Kreuzbiss in der Front.
Diese Abweichung ist dadurch bedingt, dass die seitlichen Schneidezähne zu weit auf der Gaumenseite (im zahnärztlichen Vokabular: palatinal) durchgebrochen sind. Nebst der ursprünglichen Lage der Zahnkeime beim Wachstum ist sicher auch die zu knappe Platzsituation (auf dem folgenden Bild gut zu erkennen) mit daran beteiligt.
Kreuzbiss im Seitenzahnbereich
Auf den folgenden Bildern ist zu sehen, dass auf der linken Seite des Patienten (rechts im Bild, blaue Pfeile) die unteren Zähne «weiter aussen» stehen als die oberen. Das nennt man einen seitlichen Kreuzbiss.
Auf der rechten Seite ist das gerade umgekehrt (d.h. die oberen Zähne stehen weiter aussen als die unteren, grüne Pfeile) und hier stehen die Zähne «richtig».
Muss das korrigiert werden?
Aus zahnärztlicher Sicht sind beide Abweichungen korrekturbedürftig, im Frontzahnbereich nicht zuletzt aus ästhetischen Gründen. Im Seitenzahnbereich ist auch der bleibende Zahn ganz hinten (erster Stockzahn) betroffen, daher ist eine Korrektur zu diesem Zeitpunkt angezeigt.
Sind nur die seitlichen Milchzähne vom Kreuzbiss betroffen kann in manchen Fällen auch mit einer Korrektur noch abgewartet werden. Lassen Sie ich aber unbedingt von einer zahnärztlichen Fachperson beraten, da immer weitere Faktoren mit berücksichtigt werden sollten und jeder Fall individuell beurteilt werden muss.
248884
Kreuzbisse können einzelne Zähne betreffen oder ganze Zahngruppen oder Zahnbereiche.
Die dunklen Flecken auf seinen Zähnen sind so genannter «black stain» und kann mittels einer professionellen Zahnreinigung entfernt werden; siehe dazu auch den Beitrag mit den Verfärbungen.
Kreuzbiss im Frontzahnbereich
Auf dem ersten Bild ist eine Ansicht von vorne zu sehen. Die beiden mittleren Schneidezähne stehen vor den unteren Schneidezähnen und somit «richtig». Die seitlichen Schneidezähne sind nur knapp zu sehen und stehen deutlich hinter den mittleren oberen, aber auch hintern den unteren Schneidezähnen. Das nennt man einen Kreuzbiss in der Front.
Diese Abweichung ist dadurch bedingt, dass die seitlichen Schneidezähne zu weit auf der Gaumenseite (im zahnärztlichen Vokabular: palatinal) durchgebrochen sind. Nebst der ursprünglichen Lage der Zahnkeime beim Wachstum ist sicher auch die zu knappe Platzsituation (auf dem folgenden Bild gut zu erkennen) mit daran beteiligt.
Kreuzbiss im Seitenzahnbereich
Auf den folgenden Bildern ist zu sehen, dass auf der linken Seite des Patienten (rechts im Bild, blaue Pfeile) die unteren Zähne «weiter aussen» stehen als die oberen. Das nennt man einen seitlichen Kreuzbiss.
Auf der rechten Seite ist das gerade umgekehrt (d.h. die oberen Zähne stehen weiter aussen als die unteren, grüne Pfeile) und hier stehen die Zähne «richtig».
Muss das korrigiert werden?
Aus zahnärztlicher Sicht sind beide Abweichungen korrekturbedürftig, im Frontzahnbereich nicht zuletzt aus ästhetischen Gründen. Im Seitenzahnbereich ist auch der bleibende Zahn ganz hinten (erster Stockzahn) betroffen, daher ist eine Korrektur zu diesem Zeitpunkt angezeigt.
Sind nur die seitlichen Milchzähne vom Kreuzbiss betroffen kann in manchen Fällen auch mit einer Korrektur noch abgewartet werden. Lassen Sie ich aber unbedingt von einer zahnärztlichen Fachperson beraten, da immer weitere Faktoren mit berücksichtigt werden sollten und jeder Fall individuell beurteilt werden muss.
248884
Christoph Langerweger
- langerwegerc
- Administrator
- Beiträge: 372
- Registriert: 22. März 2010, 11:08
- Wohnort: Winterthur / Schweiz
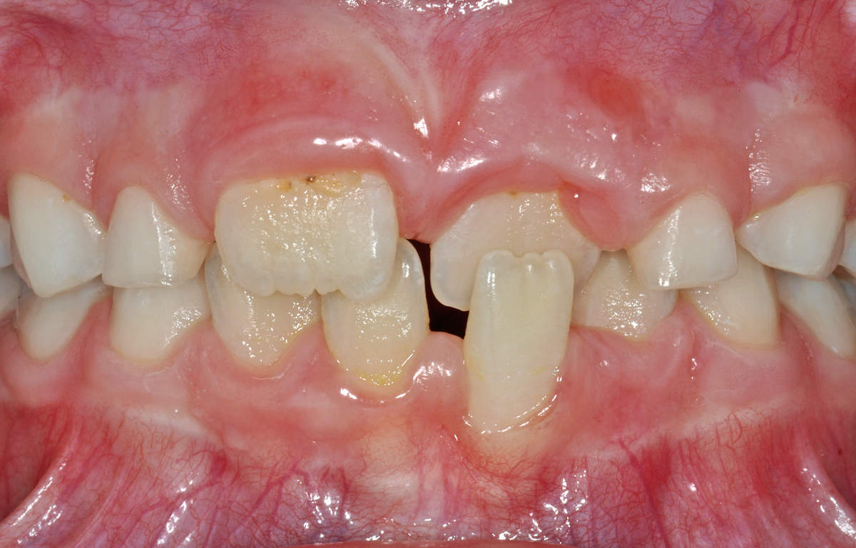
Kreuzbiss einzelner Zahn vorne
Anbei ein Fall eines Patienten mit einem einzelnen Frontzahn im Kreuzbiss. Der linke obere Schneidezahn (Zahn 21) steht hinter den unteren Schneidezähnen und somit im Kreuzbiss. Ursache ist, dass der 21 zu weit gaumenseitig (palatinal) steht.
Auch diese Situation sollte behoben werden.
254252
Auch diese Situation sollte behoben werden.
254252
Christoph Langerweger
- langerwegerc
- Administrator
- Beiträge: 372
- Registriert: 22. März 2010, 11:08
- Wohnort: Winterthur / Schweiz
Kreuzbiss einzelner Zahn in der Front
Anbei zeige ich einen ganz ähnlichen Fall wie oben, einer 7½ Jahre alten Patientin mit einem Kreuzbiss in der Front. Der linke mittlere Schneidezahn unten und oben stehen so, dass der untere Zahn weiter «vorne», also in einer Kreuzbiss-Situation, steht (blaue Pfeile im Foto unten).
Der Kreuzbiss ist wahrscheinlich eine Folge davon, dass der Milchzahn nicht ausgefallen ist und den Durchbruch des 21 an seine «richtige» Stelle weiter vorne behindert hat. Dias Aussehen des Zahnfleischs bei 21 weist darauf hin.
Diese Situation ist sicher ästhetisch unbefriedigend und sollte behoben werden, in diesem Fall wird dazu wahrscheinlich schon eine kieferorthopädische Apparatur (eine «Spange») notwendig sein.
Auf einem der Bilder unten ist mit schwarzen Pfeilen ein weiterer Grund markiert, weshalb dieser Kreuzbiss korrigiert werden sollte. Die Gingiva (das Zahnfleisch) ist beim Zahn 31 schon sehr weit zurückgegangen (sogenannte Rezession), als Folge davon, dass der Oberkiefer-Frontzahn den 31 weit nach vorne drückt, wo kein Knochen mehr für den Zahnhalteapparat vorhanden ist. So etwas ist langfristig für den Zahn sehr ungünstig und kann später zu gravierenden Problemen führen.
289916
Der Kreuzbiss ist wahrscheinlich eine Folge davon, dass der Milchzahn nicht ausgefallen ist und den Durchbruch des 21 an seine «richtige» Stelle weiter vorne behindert hat. Dias Aussehen des Zahnfleischs bei 21 weist darauf hin.
Diese Situation ist sicher ästhetisch unbefriedigend und sollte behoben werden, in diesem Fall wird dazu wahrscheinlich schon eine kieferorthopädische Apparatur (eine «Spange») notwendig sein.
Auf einem der Bilder unten ist mit schwarzen Pfeilen ein weiterer Grund markiert, weshalb dieser Kreuzbiss korrigiert werden sollte. Die Gingiva (das Zahnfleisch) ist beim Zahn 31 schon sehr weit zurückgegangen (sogenannte Rezession), als Folge davon, dass der Oberkiefer-Frontzahn den 31 weit nach vorne drückt, wo kein Knochen mehr für den Zahnhalteapparat vorhanden ist. So etwas ist langfristig für den Zahn sehr ungünstig und kann später zu gravierenden Problemen führen.
289916
Christoph Langerweger