Überzählige Zähne sind nicht so selten. Im folgenden Beitrag werden in loser Folge Fälle rund um dieses Thema präsentiert.
Überzählige Zähne finden sich in 85% aller Fälle im Oberkiefer, in den meisten Fällen im Frontzahnbereich.
Von überzähligen Zähnen im Milchgebiss sind weniger als 0,5% aller Personen betroffen, im bleibenden Gebiss betrifft es rund 1% der Bevölkerung. Überzählige Zähne treten familiär gehäuft auf.
Überzählige Zähne sind selten akut problematisch, zu den Komplikationen gehören Durchbruchsstörungen, Abweichunhgen beim Zahndurchbruch, Zahnstellungsabweichungen oder auch Zystenbildung.
Überzählige Zähne werden in der Regel entfernt. Dazu ist eine, an Lage des Zahnes und Alter des Patienten angepasste, individuelle Planung zu erstellen.
Literatur:
Hubertus van Waes
Kinderzahnmedizin, Farbatlanten der Zahnmedizin,
Stuttgart, New York; Thieme Verlag, 2001
Überzählige Zähne
Moderator: Fachmoderator
- langerwegerc
- Administrator
- Beiträge: 372
- Registriert: 22. März 2010, 11:08
- Wohnort: Winterthur / Schweiz
Überzählige Zähne
Christoph Langerweger
- langerwegerc
- Administrator
- Beiträge: 372
- Registriert: 22. März 2010, 11:08
- Wohnort: Winterthur / Schweiz
Überzähliger Milch-Frontzahn
In diesem Fall eines 3-jährigen Knaben ist ein überzähliger Milchzahn in der Unterkiefer-Front zu sehen. Er ist im zweiten Bild mit 72' bezeichnet. Hierbei handelt es sich um eine Doppelanlage des seitlichen Schneidezahnes unten links.
Diese Situation erfordert keinerlei EIngreifen oder andere Massnahmen. Der Zahn kann vorerst einfach so belassen werden und in der Regel behebt sich dieses «Problem» mit dem Zahnwechsel von selbst.
372309
Diese Situation erfordert keinerlei EIngreifen oder andere Massnahmen. Der Zahn kann vorerst einfach so belassen werden und in der Regel behebt sich dieses «Problem» mit dem Zahnwechsel von selbst.
372309
Christoph Langerweger
- langerwegerc
- Administrator
- Beiträge: 372
- Registriert: 22. März 2010, 11:08
- Wohnort: Winterthur / Schweiz
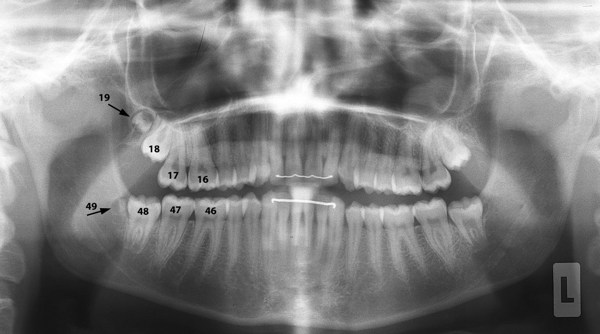
Überzählige Zähne im Seitenzahnbereich – «9er»
Anbei ein Fall eines 15-jährigen Mädchens, das auf der rechten Seite sogenannte «9er» hat (überzählige Zähne ganz «hinten», anschliessend an die Weisheitszähne).
Sie sind unten auf den Röntgenbildern dargestellt und markiert.
In der Regel werden solche überzähligen Zähne entfernt.
Dann und wann sieht man auch Fälle, in denen noch weitere Zähne vokommen (10er, …)
179389
Sie sind unten auf den Röntgenbildern dargestellt und markiert.
In der Regel werden solche überzähligen Zähne entfernt.
Dann und wann sieht man auch Fälle, in denen noch weitere Zähne vokommen (10er, …)
179389
Christoph Langerweger