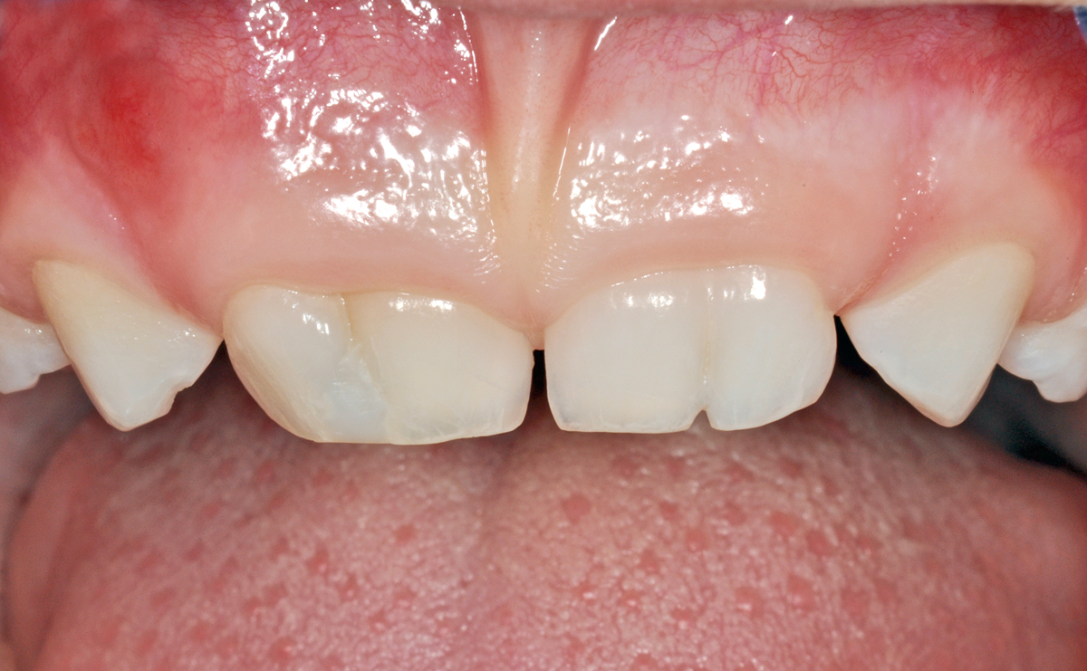
Anbei ein Fall einer etwa 5½ Jahre alten Patientin, mit Zahnverschmelzungen bei Milchzähnen in der Oberkiefer-Front. Bei dieser Patientin sind die Zähne 52 und 51 sowie die Zähne 61 und 62 je zu einem «Doppelzahn» zusammengewachsen.
Zahnverschmelzungen sieht man gar nicht so selten, oft betrifft es einzelne Zähne im Milchgebiss. Fälle mit symmetrischen, beidseitigen Verschmelzungen wie der hier präsentierte kommen aber wohl eher seltener vor (mindestens habe ich vorher noch keinen solchen Fall gesehen).
Meist braucht es bei Zahnverschmelzungen im Milchgebiss keine zahnärztlichen Behandlungen, die Zähne wechseln «normal». Manchmal kann es aber dennoch zu Abweichungen oder Durchbruchsproblemen führen, daher ist eine Überwachung durch eine Zahnärztin oder einen Zahnarzt sicher sinnvoll.
Je nach anatomischer Ausgestaltung der Rille zwischen den Zähnen kann an diesen Stellen leichter Karies entstehen, da die Rille nicht gut gereinigt werden kann. Sie kann daher, wie bei diesem Fall auf der rechten Seite, vorsorglich versiegelt (verschlossen) oder mit einer kleinen Füllung versehen werden.
334161
Zahnverschmelzungen
Röntgenbild & Co.: Alles rund um die Abklärung und Beurteilung.
Moderator: Fachmoderator
- langerwegerc
- Administrator
- Beiträge: 372
- Registriert: 22. März 2010, 11:08
- Wohnort: Winterthur / Schweiz
Zurück zu „Diagnostische Massnahmen“
Gehe zu
- Informationen zum Forum
- ↳ Informationen zur Registrierung im Forum
- ↳ Für Fachpersonen
- ↳ FAQ und Videoanleitungen
- ↳ Allgemeine Informationen, Ankündigungen, Forumsregeln
- ↳ Disclaimer und Impressum
- Kinderzahnmedizin für Fachpersonen (nur für registrierte Benutzer)
- ↳ Medizinische Kategorien / Behandlungskategorien
- ↳ «Hot Topics»
- ↳ Materialien, Methoden, Diagnostika
- ↳ Psychologie
- ↳ Mundhygiene / Prophylaxe
- ↳ Weichgewebe, Oralpathologie
- ↳ Konservierende Zahnmedizin, Karies
- ↳ Milchzahn-Endodontologie
- ↳ Traumatologie und Endodontologie bleibender Zähne
- ↳ Chirurgie
- ↳ Kieferorthopädie
- ↳ Inhalationssedation / Orale Sedierung / Vollnarkose
- ↳ Komplexe Fälle, Spezielles
- ↳ Pädiatrie / Allgemeinmedizinisches
- ↳ Management, Oekonomie
- ↳ Praxismanagement
- ↳ Marketing
- ↳ HR (Human Resources / Personal)
- ↳ IT / EDV
- ↳ Tarife / Versicherungen / Vereinigungen / Verbände
- ↳ Strategie
- ↳ Wissenschaft / Literatur
- ↳ Artikel- und Buchbesprechungen
- ↳ Interessantes / News aus anderen Fachgebieten
- ↳ Anderes
- Hersteller / Handel / Dienstleistungen (nur für registrierte Benutzer)
- ↳ Informationen
- Für Patienten, Eltern und Gäste
- ↳ Medizinische Fragen
- ↳ Vorbeugung
- ↳ Diagnostische Massnahmen
- ↳ Karies & Füllungen
- ↳ Zahnstellung
- ↳ Zahnunfall
- ↳ Tarif-Fragen, Allgemeines
- ↳ Mitglieder des Forums (Zahnärzteliste)
- English / Français / Italiano
- ↳ English
- ↳ Information
- ↳ For Patients, Parents and Interested Persons
- ↳ Medical Topics
- ↳ Prevention
- ↳ Diagnostics
- ↳ Caries and Treatment
- ↳ Orthodontics
- ↳ Trauma
- ↳ Other Topics
- ↳ Français
- ↳ informations
- ↳ section publique
- ↳ Italiano
- ↳ informazioni
- ↳ sezione aperto al pubblico